O Paciente procurou a Clínica em busca de uma transformação completa na estética de seu sorriso. A partir de uma consulta de avaliação, o especialista pôde entender as necessidade do paciente e então propor um plano de tratamento.
Nota: O Plano de Tratamento e Orçamento é realizado logo após a compreensão do especialista na consulta de avaliação.
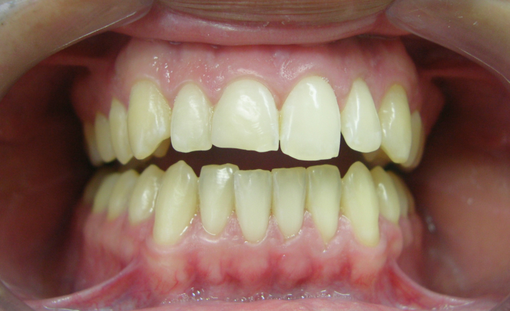
Antes do Tratamento:

Foi proposto ao paciente o seguinte tratamento:
- Aparelho Ortodôntico nos Dentes Inferiores
O aparelho ortodôntico foi colocados para correção do posicionamento de dentes desalinhados; - Realizar uma pequena correção na gengiva
Alinhamento do contorno com Plástica Gengival; - Clareamento nos Dentes Superiores e Inferiores
- 4 Facetas Laminadas em Cerâmica E-max
Final do Tratamento:

O tratamento foi realizado conforme o cronograma e dias estipulados de preferência pelo paciente em sincronia com a agenda do dentista.
O único método mais invasivo foi a plástica gengival, que apresentou-se extremamente necessária pera a correção e harmonização do sorriso com o rosto do paciente.
O Clareamento Dental também foi utilizado com moldeiras pelo paciente, podendo ele mesmo interromper o tratamento quando seu sorriso atingisse uma coloração agradável.