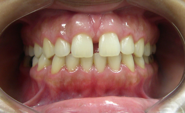
Paciente procurou a clínicas devido sua insatisfação com sua estética dental. Devido a presença de diastemas (excesso de espaço entre os dentes) nos dentes anteriores superiores, o especialista compreendeu a necessidade de um plano estético para melhor adaptação de um sorriso que fosse harmônico e ainda sim fosse capaz de atender os desejos funcionais para o melhor para sua saúde bucal.
Nota: O Plano de Tratamento e Orçamento é realizado logo após a compreensão do especialista na consulta de avaliação.
Antes do Tratamento:

Foi proposto a paciente o seguinte tratamento:
- Aplicação de Resina Fotopolimerizável;
- Modificação da Forma dos Dentes;
- Para se reestabelecer a função mastigatória.
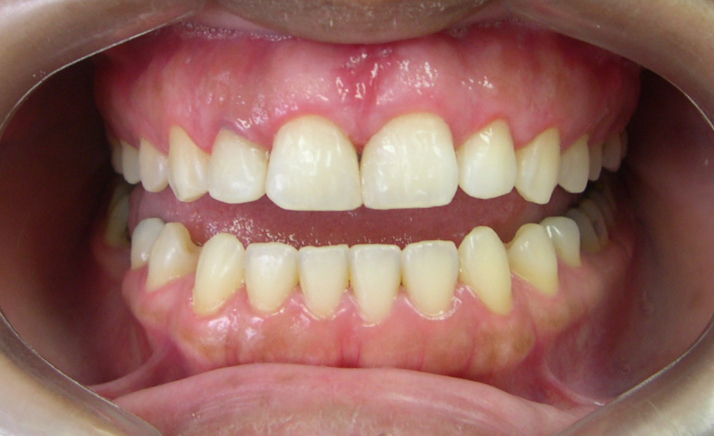
Final do Tratamento:
O caso foi finalizado com a técnica direta e a aplicação de Resina Fotopolimerizável em técnica estratificada (várias camadas de resina).

Através desta técnica de estratificação foi possível modificar a forma dos dentes, sem desgastes, atingindo o resultado satisfatório e com baixo custo, eliminando então o largo problema de diastema que afetava a segurança da paciente para sorrir em ambientes casuais e profissionais.
Esse caso foi realizado em uma única sessão, com 3 horas de duração.